Why take X-Rays?

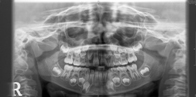
Radiographs (X-Rays) are taken to view areas which can not be seen on the surface of a tooth and to ultimately aid diagnosis and treatment planning. There are different types of xrays depending on what information is needed. Small xrays that the child bites on in the mouth help diagnose areas in between teeth.Larger X-Rays (OPG/Panorex) may be needed to assess the position and development of all adult teeth. Many times a cavity on a baby tooth may look small in the mouth, however with X-Rays the depth of the cavity can be seen which may be very deep and close to the nerve of the tooth. In some children, the teeth will look perfect in the mouth, but X-Rays will show areas of early decay which need to be monitored or restored.

X-Rays of front teeth (Anterior maxillary occlusal) may be needed after a child has sustained trauma to view the extent of the injury and impact on adult developing teeth.The decision to take X-Rays and which type, how often is based on the individual needs of a child. Good cooperation is needed for good quality X-Rays. The amount of radiation exposed is very low in dental X-Rays. All necessary precautions are taken to reduce the dose and equipment checked regularly.